

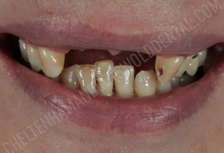
This patient was referred to us with four missing upper front teeth, which had a significant impact on both her confidence and day-to-day function. Due to the extent of bone and gum loss, this was a complex case requiring careful planning. We carried out advanced bone and soft tissue grafting to rebuild the natural foundations […]
Read More
Finance options available
Denplan £24.00 per month (£24.60 per month with optional Supplementary Insurance) includes:
2x examinations 2x 30minute hygienist appointments 10% discount off routine treatmentNecessary intra-oral x rays Optional emergency insurance
Learn More"The practice was absolutely fabulous. My experience from start to finish was totally seamless, calm and professional. I...
"I now smile with confidence and without looking like Nanny Mcphee....all thanks to the miracle works of Sam & team. 4 y...
"I have never been a great fan of the dentist, only going when I had to. Then, when I had a couple of crowns fail around...
"I feel very fortunate to be a patient of this fantastic practice. The entire team takes pride in the care they offer, a...
"It was a pleasure to bring my son for an orthodontic assessment today. What a beautiful practice you have! We felt very...
"I have no reservations whatsoever recommending Cheltenham & Cotswold Dental to anyone; the care I received was second t...
"I cannot sing Cheltenham & Cotswolds praises enough. Having been a patient here before the lockdown and after the reope...
"Today I complete my implant treatment. I am amazed I ever got here! It wouldn't have been possible without Imran and hi...
“All three of my children had orthodontic treatment here over many years, and I had adult orthodontics as I was so imp...
“Having always wanted straight teeth I decided in my mid 30’s that I wanted a smile to be proud of. I visited the pr...
"I have had lots of cosmetic treatment completed over the past year and Imi's attention to details is second to none. He...
“I decided to get my teeth straightened just because I was fed up with one of my front teeth which was sticking out an...
"I was referred to see Imi via my local dentist for an implant. The service I received was excellent. The implant is out...
“I highly recommend this practice. Having had braces as a teenager, over time my teeth had moved. By straightening my...
“The practice have been brilliant throughout the whole treatment. After being unhappy with my teeth since having brace...
"I hadn't been to the dentist for about 15 years. As a single parent for a lot of them I had to prioritise my kids over...
“I have been a patient of Mr Dickson’s for two years and I highly recommend them for their professionalism, speed, f...
“For anyone thinking of having an implant, Imran and his skilled team come highly recommended. I have just completed m...
"Just a note to say thank you very much for the excellent work that Imran and his team performed for me today. For some...
“I have just finished my treatment and can’t recommend this practice enough! Everyone was so friendly and my teeth l...
“Both of my children have had braces here and they now have perfect smiles! Faultless service, friendly staff and acc...

Take the first step toward a confident smile with Dr. Nasser, our experienced Implantologist.
Learn More
We provide IV and Inhalation sedation to ensure our nervous patients have a relaxed appointment.
Learn More

