Discuss your Implant treatment with our Implantologist, Dr Imran Nasser.
Dental Implants from just £3750 – get in touch to book your initial consultation today. Your consultation includes all intra oral x-rays and a full treatment plan letter.
Book NowWhy choose Dental Implants?
Whether you are looking to replace a single tooth or multiple missing teeth, we can use dental implants to provide a stable foundation for life. Implants allow you to regain the function, look and feel of your natural teeth, without the worry that your restoration will slip or fail.
A missing tooth can significantly impact your life, especially with the way you eat, speak and feel. A gap can cause your facial shape to lose structure, as your gum can shrink and remaining teeth move over time. Dental implants not only restore your smile, they can greatly improve your quality of life and self-confidence. You no longer have to worry about avoiding certain foods and can feel happy about showing off your smile again.
Benefits of Dental Implants
- Secure – dental implants stay firmly in place and will not move when you are eating or speaking, or become loose over time. As they are held in place by your bone, you can be confident of their strength and durability.
- Aesthetic – implants look and feel just like natural teeth. You will be able to eat, drink and talk just as you did before, as well as show off a winning smile.
- Effective – dental implants are a safe and well-established method of replacing one or more missing teeth in any part of your mouth.
- Supportive – implants can help to support and sustain your facial structure and remaining natural teeth. They protect your gum and can be fitted with no detrimental effect on your existing healthy teeth.
- Innovative – implants use cutting edge digital dental technology combined with specialist expertise to create the next best thing to natural teeth.
Hear from our happy patients
About Dr Imran Nasser
Imi is our Practice Principal, Implant & Award-Winning dentist, having won the UK Clinical & Aesthetic Dentistry Awards from 2021–2024.

Imi stands at the forefront of modern implant dentistry, combining surgical excellence with an innovative approach to dental education. His journey in dentistry began at Bristol University, where he distinguished himself by earning prestigious awards in both Periodontology (gum management) and Prosthetics (tooth replacement) before graduating in 2006.
Following his undergraduate training, Imi refined his surgical expertise through posts at Bristol Dental Hospital and Royal United Hospital Bath’s Department of Oral & Maxillofacial Surgery. His exceptional skills were recognised with the Fellowship in Dental Surgery from the Royal College of Surgeons in 2009, marking the beginning of what would become a remarkable career in advanced dentistry.
Since completing his first implant cases in 2010, Imran has pursued excellence through continuous advancement, earning a Master’s degree with Distinction in Implantology in 2014. His commitment to mastering cutting-edge techniques led him to complete an Advanced Surgical Fellowship under the renowned Professor Urban at the Bone Regeneration Institute in 2018. This specialised training has enabled him to become a leader in innovative implant, bone and soft tissue procedures.
Today, Imi’s expertise draws referrals from across the United Kingdom and overseas for complex cases requiring advanced implant treatment, bone grafting, and sinus grafting surgery. His reputation for achieving predictable results in even the most challenging cases has established him as a trusted name in the field. As a key opinion leader for BioHorizons Camlog UK, Imran is passionate about sharing his knowledge and expertise with other dentists. He has developed a comprehensive educational platform (www.ap15c.com) that includes hands-on training and mentoring to other dentists; and he regularly lectures both in the UK and internationally. His teaching methods have gained such recognition that 2024 saw the successful launch of his courses in the United States, with plans for further expansion in the coming years.
Imi is also fully trained and experienced in delivering facial aesthetic treatments, including advanced Botox and dermal filler techniques. He offers a comprehensive range of aesthetic solutions such as wrinkle reduction for frown lines, nasal lines, and crow’s feet, as well as treatments for masseter hypertrophy, platysmal bands, and excessive underarm sweating (hyperhidrosis). His dermal filler expertise includes softening marionette lines, rejuvenating lips, and restoring facial volume—all delivered with precision, safety, and a natural-looking result. At the heart of Imi’s practice is an unwavering commitment to meeting patient expectations through precise, predictable, and pain-free dentistry—and now, through expertly delivered facial aesthetic treatments.
When not advancing the field of dentistry, Imi embraces life as a father of three—Luca, Theo, and Sophia—sharing their passion for sports and school activities. He maintains an active lifestyle, shares his dental expertise with a growing social media following @driminasser, and enjoys quality time with his wife Kristina. He looks forward to welcoming you to Cheltenham & Cotswold Dental.

What Does the Dental Implant Process Involve?
Modern implant dentistry can be faster, less invasive and more predictable than ever before. Many of our patients need fewer appointments, and in suitable cases we can place implants and fit new teeth on the very day a tooth is removed.
Step 1: Personal Consultation & Smile Design
Your journey begins with a relaxed, in-depth consultation. We talk about your goals and lifestyle, then use state-of-the-art digital technology to design your ideal smile. By merging detailed intra-oral scans with 3D CBCT bone imaging, we create a precise virtual model of your mouth. You’ll often see a realistic simulation of your future smile right at the start.
Step 2: Precision Digital Planning
With this digital blueprint, we can plan every detail; implant size, position and angulation before you sit in the chair. If any tooth removal or grafting is required, we schedule it efficiently, often within a single streamlined visit.
Step 3: Implant Placement – Often Same Day
Using minimally invasive techniques, we place your implant with exceptional accuracy and comfort using our fully guided philosophy and systems. Local anaesthetic (and optional sedation) keep the experience calm and pain-free.
- In many cases we can extract and place the implant in one appointment, fitting a beautifully crafted temporary tooth on the spot.
- If a healing phase is recommended, we still provide a natural looking temporary so you never leave with a gap.
Step 4: Your New Smile
After full integration of the implant with your bone we fit your final bespoke crown or bridge. We give personalised after care advice so your implant remains strong and your smile stays radiant for years to come. We will also perform annual follow ups to ensure stable outcomes.
What types of Dental Implants are available?
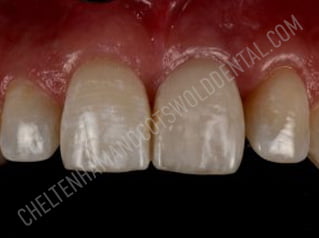
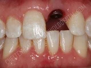
Single implantsA missing tooth can be effectively replaced using a crown fitted to a single dental implant. The replacement tooth is strong, secure and durable, able to withstand pressures from chewing and look just like your existing teeth. Alternative options for a single missing tooth are available, including a single tooth denture or bridge, but these are not as effective as an implant. A single implant can be fitted with no damage to the remaining healthy teeth, prevents unwanted movement and strengthens the jaw.
Multiple implantsIf you have several missing teeth, there are various implant options to consider to fill the gaps. Separate single implants can be placed, but you do not necessarily need an implant fitted for each missing tooth. Strategically placed implants can be used to support a bridge to replace a number of adjacent teeth. This method is particularly effective in cases where the jawbone may not be sufficient for implant treatment in some places.
Full arch implantsTraditionally, dentures have been the go-to option for replacing a full upper or lower arch of missing teeth. However, despite the advances in denture treatment, they can be uncomfortable to wear and do not stop the jawbone from degrading over time. Dental implants are seen as the superior alternative and offer two main full arch options:
- A fixed full arch bridge of new teeth, supported by four or six precisely placed dental implants. Once they have settled, your new teeth will feel completely natural and enable you to eat, drink and speak as you did before
- A denture, anchored into place by dental implants. Implant-supported dentures are much more secure and do not move when worn, giving you back your confidence and a full smile.
Frequently Asked Questions
Dental implants offer a stable, secure and natural looking solution for missing teeth. They are highly advanced in dental restoration and a truly modern way to fill in the gaps in your smile. Implants offer a fixed new tooth root, using titanium posts placed into your jawbone to support a crown or bridge.Titanium is widely used for dental implants as it is well tolerated by the body. Over several months, the titanium root fuses to the surrounding bone in the jaw, becoming a strong and durable foundation.
Most people are a suitable candidate for dental implants, as long as they are generally healthy and have good oral health. However, they are not an ideal option for everyone. Dental implants are not usually offered to younger patients whose jaws are still growing. Smokers and patients with certain medical conditions, including diabetes, may struggle to heal properly following surgery and increase the risk of implant failure. It is also important that you have enough bone density in your jaw to hold the implants in place, but this can be improved with a bone graft. We will thoroughly discuss your overall suitability for implant treatment at your initial consultation.
We use local anaesthetic during dental implant surgery to ensure you are comfortable during the procedure. You won’t be able to feel a thing. We can also offer sedation for very nervous patients. After treatment, it is normal to experience some discomfort, and this can be managed with pain relief advised by your dentist. Implant treatment is often less painful than having a tooth extraction, and most patients are able to return to their usual routines the next day.
The whole process, from missing teeth to secure fixed replacements, can take several months. The implant surgery is a relatively quick procedure, but the implants themselves need around 3-6 months to heal and fuse before fixed permanent teeth can be placed. The treatment process will be longer if you need a bone graft or other procedure first, but your new smile will be more than worth it in the end.
Dental implants have the potential to last a lifetime if they are properly looked after. This includes maintaining an excellent oral health routine, looking after your general health and attending regular check up appointments with your dentist. The crown or bridge that the implant supports may need to be replaced over time due to normal wear and tear.
No, dental implants look and feel exactly like natural teeth. We can match the shape and colour of your existing teeth when creating your final fixed crown or bridge so it blends seamlessly into your smile.
If you have one or more missing teeth, you may also consider restoring your full smile with a bridge or denture. These alternatives are less expensive than an implant, but don’t have the same superior stability, aesthetics and versatility. They are also not likely to last as long. We are happy to discuss all the options for replacing your missing teeth and find the best one for you.
You may actually find it easier! As your implants are fused to your jawbone and the replacement teeth securely supported, you shouldn’t have any trouble speaking and may find your speech becomes clearer once the gap in your teeth has been filled.
You should treat your dental implants just like natural teeth, and include them in your normal oral hygiene routine. As they are made from artificial materials, your implants are invulnerable to decay or cavities, but you will still need to brush and floss to keep the gum surrounding the implant healthy and without problems.
Back to Treatments