Discover a confident new smile
Get the smile of your dreams with discreet Invisalign treatment from just £3100

Get the smile of your dreams with discreet Invisalign treatment from just £3100
An increasingly popular choice with adults, teenagers and children alike, Invisalign offers a discreet, minimally invasive and highly effective way to change the appearance of your smile. It allows you to achieve your dream straighter smile in comfort, without any metal wires and brackets irritating your lips and cheeks.
Invisalign is extremely easy to use; custom-made aligners gradually move the positions of your teeth into the correct place more gradually. Invisalign is gentle and discreet and requires no change to your diet or lifestyle, as they can be removed for eating, drinking and brushing your teeth.
The aligners are virtually invisible in the mouth when worn. No-one needs to know you are on a journey to beautifully straight teeth until they notice you smiling much more once your treatment is complete!
Finance options available to help spread the cost of your treatment
 Platinum Invisalign provider
Platinum Invisalign providerWe are proud to be a Specialist Platinum Invisalign provider, giving many people a reason to smile again. We have treated countless patients, and the best part of our job is seeing how delighted they are with their final results.

Sam is our Practice Principal and Specialist Orthodontist. Graduating from Bristol University in 2006, she was awarded with the BDA medal and prizes for orthodontics and paediatric dentistry. She is experienced in all forms of orthodontic treatments including Invisalign/aligners for adults, teens and children and fixed orthodontic systems including the beautiful gold Iconix brackets. Sam is an Invisalign Platinum provider and, having previously worked within the maxillofacial department at hospitals, she is able to treat the most complex of cases.

James has extensive experience in all aspects of orthodontics, and aside from routine orthodontic treatments, has a particular interest in provision of treatment to adults, those requiring jaw surgery and children with cleft lip and palates. James is an Invisalign Platinum Provider and also works as a speciality doctor in Cheltenham General hospital treating complex orthodontic cases. He particularly likes the use of functional appliances to influence jaw development in children and employs all types of fixed and removable braces including Invisalign and Invisalign Teen to provide patients of all ages with the best contemporary care. He is experienced in the use of ceramic, metal and lingual fixed appliances.

David has been an Orthodontic Specialist since 2015 and is also the secretary to the Bristol Local Clinical Network of Orthodontists. David is experienced in metal and clear fixed braces, lingual braces and Invisalign aligners. His specialist orthodontic training and further education allows him to use the orthodontic technique most suited to the individual and he always treats his patients in a calm way.
– Invisalign aligners are virtually invisible when worn and designed to fit seamlessly into your lifestyle. Only you need to know you are having orthodontic treatment!
– the clear aligners are completely removable, allowing you to eat and drink your favourite foods. You can also brush your teeth as normal, easily maintaining your excellent oral hygiene.
– the custom-made aligners are designed with comfort in mind, with no metal or sharp wires to irritate your skin. Accurate and precise scans promise a secure, and comfortable fit.
– Invisalign is a gradual and gentle treatment, slowly moving your teeth into the desired position. It can be used on a range of issues, including misalignment, gaps and overcrowding.
– Invisalign uses the latest digital technology in every step, from the 3D scanning used to capture accurate images of your teeth to the SmartTrack material engineered to straighten teeth with maximum comfort.
Invisalign uses a series of clear, custom-made aligners to gently move your teeth into new positions to transform your smile.
At your initial appointment, we will examine your teeth and take 3D scans and images to ensure your aligners have a precise and accurate fit. We can even use the latest digital technology to show you a preview of how your smile will look following treatment!
The scans and images taken of your teeth are used to create your bespoke treatment plan. Using innovative ClinCheck software, we can show you step by step how your teeth will move position as you wear your aligners.
You will receive a series of aligners and will wear a new one every 1-2 weeks. As you wear each aligner, your teeth move little by little until your new dream smile is created. The aligners control the amount and timing of movement based on your bespoke treatment plan, ensuring that each stage of treatment goes smoothly. We keep a close eye on your progress at your 6-8 weekly appointments. This enables us to make small adjustments, if necessary, to ensure an incredible outcome.
Once you have worn your last aligner, your treatment journey is complete. All you need to do is get ready to show off your new straight smile! We will give you a final retainer to keep your teeth in their new positions for the long term.

Invisalign can help with a whole range of orthodontic issues, including crowding, misalignment, incorrect bites and gaps. Straightening your teeth can also have a positive effect on your overall appearance, as bringing teeth into straighter positions enhances your facial shape and structure.
Straighter teeth and a winning smile gives a huge boost to your self-esteem. Many patients find the confidence their new smile brings even starts during the treatment process, thanks to the virtually invisible clear aligners.


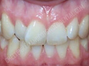
A perfect Invisalign case over 9 months with discrete comfortable Invisalign aligners to gently reposition the teeth.
The effectiveness and convenience of Invisalign has made it the straightening system of choice for millions of patients around the world looking to improve their smiles. It’s the winning choice for patients looking for a cosmetic approach to their orthodontic treatment, eliminating the worry that they will feel self conscious whilst wearing traditional style metal braces. The removable aligners fit seamlessly into each patient’s daily lives and do not require any major changes to diet or brushing routines. Invisalign offers a very successful way to boost confidence and achieve your dream smile.
We know that Invisalign treatment can be expensive, which is why we are pleased to offer flexible payment options to help spread the cost. We just require a deposit to secure your first appointment with the practice.
– used for mild crowding or concerns with the top and bottom teeth. This treatment usually takes no longer than 6 months.
– this generally treats the top and bottom teeth simultaneously. It can be used for mild and moderate crowding and spacing and usually takes around 12-18 months.
– a discreet alternative to traditional braces for older teenagers.
 Finance options available
Finance options available
Denplan £22.80 per month (£23.40 per month with optional Supplementary Insurance) includes:
2x examinations 2x 30minute hygienist appointments 10% discount off routine treatment Emergency insurance
Learn More"The practice was absolutely fabulous. My experience from start to finish was totally seamless, calm and professional. I...
"I now smile with confidence and without looking like Nanny Mcphee....all thanks to the miracle works of Sam & team. 4 y...
"I have never been a great fan of the dentist, only going when I had to. Then, when I had a couple of crowns fail around...
"I feel very fortunate to be a patient of this fantastic practice. The entire team takes pride in the care they offer, a...
"It was a pleasure to bring my son for an orthodontic assessment today. What a beautiful practice you have! We felt very...
"I have no reservations whatsoever recommending Cheltenham & Cotswold Dental to anyone; the care I received was second t...
"I cannot sing Cheltenham & Cotswolds praises enough. Having been a patient here before the lockdown and after the reope...
"Today I complete my implant treatment. I am amazed I ever got here! It wouldn't have been possible without Imran and hi...
“All three of my children had orthodontic treatment here over many years, and I had adult orthodontics as I was so imp...
“Having always wanted straight teeth I decided in my mid 30’s that I wanted a smile to be proud of. I visited the pr...
"I have had lots of cosmetic treatment completed over the past year and Imi's attention to details is second to none. He...
“I decided to get my teeth straightened just because I was fed up with one of my front teeth which was sticking out an...
"I was referred to see Imi via my local dentist for an implant. The service I received was excellent. The implant is out...
“I highly recommend this practice. Having had braces as a teenager, over time my teeth had moved. By straightening my...
“The practice have been brilliant throughout the whole treatment. After being unhappy with my teeth since having brace...
"I hadn't been to the dentist for about 15 years. As a single parent for a lot of them I had to prioritise my kids over...
“I have been a patient of Mr Dickson’s for two years and I highly recommend them for their professionalism, speed, f...
“For anyone thinking of having an implant, Imran and his skilled team come highly recommended. I have just completed m...
"Just a note to say thank you very much for the excellent work that Imran and his team performed for me today. For some...
“I have just finished my treatment and can’t recommend this practice enough! Everyone was so friendly and my teeth l...
“Both of my children have had braces here and they now have perfect smiles! Faultless service, friendly staff and acc...

Take the first step toward a confident smile with Dr. Nasser, our experienced Implantologist.
Learn More
We provide IV and Inhalation sedation to ensure our nervous patients have a relaxed appointment.
Learn More




