Cheltenham - Logo
Menu
header icon1 header icon2 header icon3
145 Hales Road, Cheltenham, GL52 6TD
I would like to
01242 269 498 Referrals Book Online Contact Us Emergency

Bone graft / dental implants

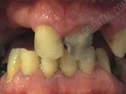
Before - cheltenham

Before

After - cheltenham

After

This patient was referred to us with four missing upper front teeth, which had a significant impact on…

Read More

Full Upper Arch Implants – New Teeth in One Day

Before - cheltenham

Before

After - cheltenham

After

This case highlights what modern implant dentistry can truly achieve when careful planning meets precise execution. Our patient…

Read More

Case 1 - Dental Implants

Before - cheltenham

Before

After - cheltenham

After

J.G had struggled for years due to a genetic link to gum disease. After years of suffering with…

Read More

Case 2 - Dental Implants

Before - cheltenham

Before

After - cheltenham

After

This patient lost her front tooth following trauma and wanted a solution that would feel, look and function…

Read More

Case 3 - Dental Implants

Before - cheltenham

Before

After - cheltenham

After

This gentleman had his tooth knocked out playing sport. He wanted a solution that would replace his tooth…

Read More

Case 4 - Dental Implants

Implants case 3 before

Before

Implants case 3 after

After

This patient lost all of her upper teeth due to gum disease. Following the replacement of all of…

Read More

Case 5 - Dental Implants

Before - cheltenham

Before

After - cheltenham

After

This lady lost all of her upper teeth due to gum disease. She was looking for a solution…

Read More

Case 6 - Dental Implants

Before - cheltenham

Before

After - cheltenham

After

This case involved the replacement of the missing front tooth with a dental implant. The great challenge of…

Read More

Case 7 - Dental Implants

Before - cheltenham

Before

After - cheltenham

After

This case was referred to ourselves to replace the missing front tooth with a dental implant. This was…

Read More

Case 8 - Dental Implants

Before - cheltenham

Before

After - cheltenham

After

This was a particularly challenging case referred to us as this patient had complex health issues, was pregnant…

Read More

Case 9 - Dental Implants

Before - cheltenham

Before

After - cheltenham

After

This patient had struggled for years with poorly fitting dentures which affected his ability to eat and speak…

Read More

Case 10 - Dental Implants

Before - cheltenham

Before

After - cheltenham

After

This patient had trauma to a long-standing bridge and required implants and replacement crowns to restore his smile.…

Read More

Case 11 - Dental Implants

Before - cheltenham

Before

After - cheltenham

After

This patient was referred to replace her missing tooth with a dental implant. This was successfully completed over…

Read More

Case 12 - Dental Implants

Before - cheltenham

Before

After - cheltenham

After

Patient DP was referred to us to replace her missing front tooth by her dentist. The treatment was…

Read More

Case 13 - Dental Implants

Before - cheltenham

Before

After - cheltenham

After

This patient required the replacement of all her upper teeth with dental implants. This was successfully achieved and…

Read More

Case 14 - Dental Implants

Before - cheltenham

Before

After - cheltenham

After

What a journey we have been on with this patient. He came to see us faced with a…

Read More

A Life-Changing Smile Transformation: R.B’s Dental Implant Journey

Before - cheltenham

Before

After - cheltenham

After

When R.B was first referred to Cheltenham and Cotswold Dental, her main concern was clear - failing front…

Read More
Finance options available

Get in touch

Denplan available

Denplan £24.00 per month (£24.60 per month with optional Supplementary Insurance) includes:

2x examinations 2x 30minute hygienist appointments 10% discount off routine treatmentNecessary intra-oral x rays Optional emergency insurance

Learn More
Treatment - Cheltenham

Restore your smile with Dental Implants

Take the first step toward a confident smile with Dr. Nasser, our experienced Implantologist.

Learn More
Treatment - Cheltenham

Calm and comfortable dentistry with Sedation

We provide IV and Inhalation sedation to ensure our nervous patients have a relaxed appointment.

Learn More
Treatment - cheltenham

Dental Implants

Learn More
Treatment - cheltenham

Facial Aesthetics

Learn More
Treatment - cheltenham

Gum Specialists

Learn More
Treatment - cheltenham

Sedation

Learn More
Treatment - cheltenham

Teeth Straightening

Learn More

Our Team