

This patient was referred to us with four missing upper front teeth, which had a significant impact on…
Read More

This case highlights what modern implant dentistry can truly achieve when careful planning meets precise execution. Our patient…
Read More

J.G had struggled for years due to a genetic link to gum disease. After years of suffering with…
Read More

This patient lost her front tooth following trauma and wanted a solution that would feel, look and function…
Read More

This gentleman had his tooth knocked out playing sport. He wanted a solution that would replace his tooth…
Read More

This patient lost all of her upper teeth due to gum disease. Following the replacement of all of…
Read More

This lady lost all of her upper teeth due to gum disease. She was looking for a solution…
Read More

This case involved the replacement of the missing front tooth with a dental implant. The great challenge of…
Read More

This case was referred to ourselves to replace the missing front tooth with a dental implant. This was…
Read More

This was a particularly challenging case referred to us as this patient had complex health issues, was pregnant…
Read More

This patient had struggled for years with poorly fitting dentures which affected his ability to eat and speak…
Read More

This patient had trauma to a long-standing bridge and required implants and replacement crowns to restore his smile.…
Read More

This patient was referred to replace her missing tooth with a dental implant. This was successfully completed over…
Read More

Patient DP was referred to us to replace her missing front tooth by her dentist. The treatment was…
Read More

This patient required the replacement of all her upper teeth with dental implants. This was successfully achieved and…
Read More

What a journey we have been on with this patient. He came to see us faced with a…
Read More

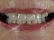
When R.B was first referred to Cheltenham and Cotswold Dental, her main concern was clear - failing front…
Read More
Finance options available
Denplan £24.00 per month (£24.60 per month with optional Supplementary Insurance) includes:
2x examinations 2x 30minute hygienist appointments 10% discount off routine treatmentNecessary intra-oral x rays Optional emergency insurance
Learn More"The practice was absolutely fabulous. My experience from start to finish was totally seamless, calm and professional. I...
"I now smile with confidence and without looking like Nanny Mcphee....all thanks to the miracle works of Sam & team. 4 y...
"I have never been a great fan of the dentist, only going when I had to. Then, when I had a couple of crowns fail around...
"I feel very fortunate to be a patient of this fantastic practice. The entire team takes pride in the care they offer, a...
"It was a pleasure to bring my son for an orthodontic assessment today. What a beautiful practice you have! We felt very...
"I have no reservations whatsoever recommending Cheltenham & Cotswold Dental to anyone; the care I received was second t...
"I cannot sing Cheltenham & Cotswolds praises enough. Having been a patient here before the lockdown and after the reope...
"Today I complete my implant treatment. I am amazed I ever got here! It wouldn't have been possible without Imran and hi...
“All three of my children had orthodontic treatment here over many years, and I had adult orthodontics as I was so imp...
“Having always wanted straight teeth I decided in my mid 30’s that I wanted a smile to be proud of. I visited the pr...
"I have had lots of cosmetic treatment completed over the past year and Imi's attention to details is second to none. He...
“I decided to get my teeth straightened just because I was fed up with one of my front teeth which was sticking out an...
"I was referred to see Imi via my local dentist for an implant. The service I received was excellent. The implant is out...
“I highly recommend this practice. Having had braces as a teenager, over time my teeth had moved. By straightening my...
“The practice have been brilliant throughout the whole treatment. After being unhappy with my teeth since having brace...
"I hadn't been to the dentist for about 15 years. As a single parent for a lot of them I had to prioritise my kids over...
“I have been a patient of Mr Dickson’s for two years and I highly recommend them for their professionalism, speed, f...
“For anyone thinking of having an implant, Imran and his skilled team come highly recommended. I have just completed m...
"Just a note to say thank you very much for the excellent work that Imran and his team performed for me today. For some...
“I have just finished my treatment and can’t recommend this practice enough! Everyone was so friendly and my teeth l...
“Both of my children have had braces here and they now have perfect smiles! Faultless service, friendly staff and acc...

Take the first step toward a confident smile with Dr. Nasser, our experienced Implantologist.
Learn More
We provide IV and Inhalation sedation to ensure our nervous patients have a relaxed appointment.
Learn More

